Teeth stains (tooth discoloration) can occur either on the surface of the enamel or within the enamel. A number of factors contribute to the formation of teeth stains. They include poor hygiene, some diseases and certain foods and beverages. It is possible to have them faded or completely removed using various treatments and procedures.
What Are Teeth Stains?
Teeth stains refer to the discoloration of teeth resulting in overall shades or sports of undesirable pigments. The stains are different from the natural color of teeth. They can occur on the surface of the enamel or within the enamel. Teeth stains are also commonly referred to as teeth discoloration.

Teeth stains are formed when substances causing them stick on the surface of the teeth or when they creep into and gather within the enamel of tooth. Typically, The stains manifest themselves in yellow, brown, white, green and grey colors. The color of the stains formed on teeth mainly depend on the causes of the stains.
Types of Teeth Stains
There are two main types of main types of stains on teeth: intrinsic teeth stains and extrinsic teeth stains.
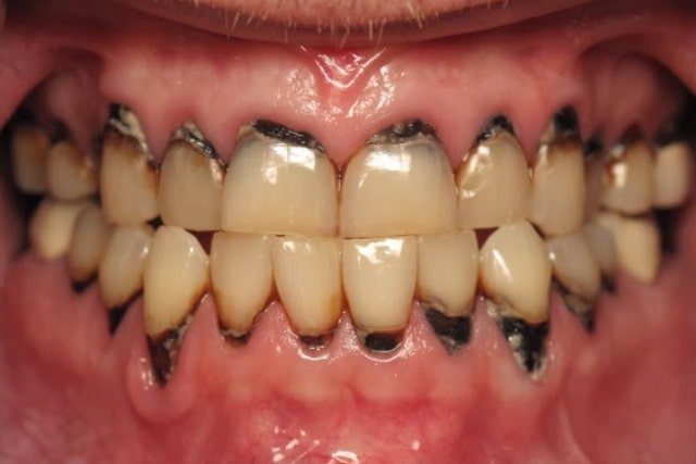
Extrinsic Teeth Stains
This is the discoloration of the teeth that occurs when tiny the particles causing the stains stick on the surface of the tooth. This means the tooth is affected by the stain externally.

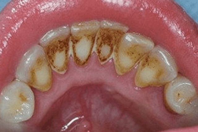
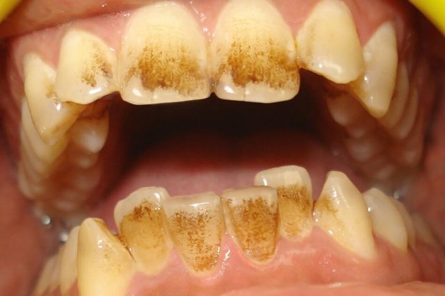
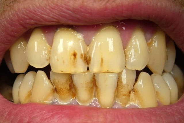
Extrinsic staining arises due to the buildup of stain-causing substances in the small dents and cracks on the outer surface of tooth enamel. Extrinsic stains may be identified as they usually manifest themselves in brown, black or gray colors. However, they may sometimes be orange, green or yellow.
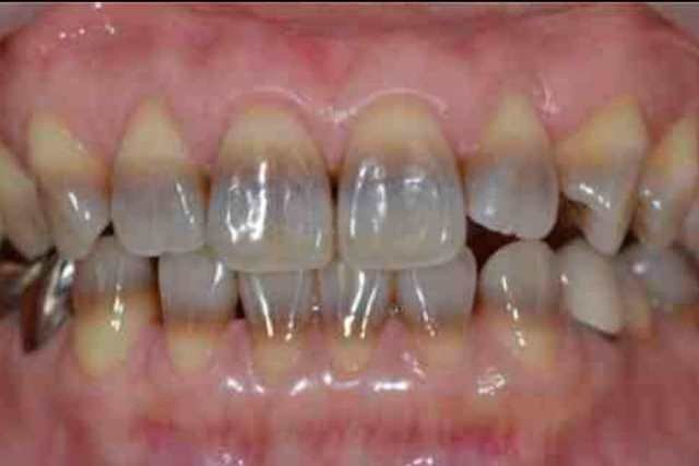
Intrinsic Teeth Stains
This discoloration of the teeth occurs when the tiny particles causing the stains infiltrate and collect within the enamel of tooth. In this case, the tooth is affected internally by the stain.

Teeth with intrinsic stains may be red or pink or shiny yellow. Intrinsic stain is suspected in case only some (especially one) teeth are affected
Teeth Stains Causes
What causes teeth to stain? There are many causes of teeth stains. According to Web media, dentists say that any substance that can stain a white cotton material can also stain teeth. The more intense the color of a substance, the more potential it has for staining.
Acidic substances, which may not be pigmented, also promote teeth staining. The acid in the substances is instrumental in corroding the enamel and softening it. This makes it easier for stain causing substances (chromogens) to attack and stain the tooth. The following are the common causes of teeth stains:
1. Foods and Beverages
Certain foods and beverages are known to cause stain on teeth. The compounds which make up the foods may have teeth staining substance or substances that promote staining of teeth. Some of the foods that stain teeth include:

- Coffee has chromogens and tannins, which are active causes of teeth stains.
- Tea, particularly black tea, is known to have chromogens and tannins also causes teeth stain
- Wine, especially red wine, which contains chromogens and tannins, is very instrumental in staining teeth. However, white wine may also encourage teeth staining.
- Cola can cause considerable teeth staining given that it contains teeth staining substance. Cola is also carbonated and hence acidic, the more reason why it may cause serious teeth staining.
- Colored sauces: Tomato sauce and curry sauce are deeply pigmented and hence are likely to stain on teeth.
- Colored fruits, for instance, blackberries and grapes, and the drinks made from them are also among the causes of teeth stains
2. Fluorosis
Fluorosis refers to teeth stains that result from excessive fluoride. Mostly, this condition affects children under 8 years of age. It is added to drinking water, toothpaste, mouthwashes.
Fluorosis usually appears as white or greyish streaks that run across the teeth. However, it might lead to dark brown spots and pits when it is severe. Despite the discoloration it causes, it is usually harmless.
3. Tobacco
Tobacco causes nicotine stains on teeth whether smoked or chewed. The two substances in tobacco that cause stains on teeth are nicotine and tar. While nicotine is essentially colorless, it becomes yellowish once it combines with oxygen gas, causing yellow teeth stains.

Similarly, tar, which is naturally dark matter resulting from smoking or chewing tobacco, causes dark spots on teeth. Tobacco stains on teeth are common among tobacco smokers.
4. Certain Medications
Some medications may lead to tooth stains as a side effect. Common medications that may cause stains on teeth include:

- Tetracycline and doxycycline have been associated with intrinsic teeth stains, especially in children. They usually cause yellow or brown spots, patches or lines spread across the surface of teeth.
- High blood pressure and antipsychotic drugs may likewise cause discolored teeth
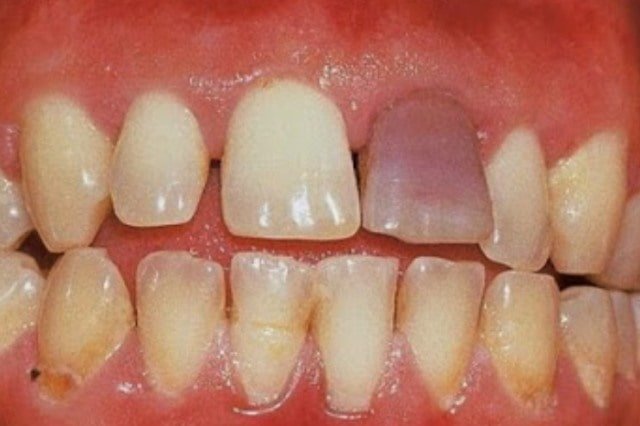
- Brown or gray staining may be as a result of changes that have occurred within the tooth’s nerve. These changes may be caused by root canal treatment. In most cases only those teeth affected by changes become stained.
5. Poor Hygiene
If residues buildup on the surface of your teeth, they may cause white, yellow, dark, brown, black, and even green teeth staining. The stain color depends on the color of the residues.
6. Teeth Trauma
Chipped, broken or cracked teeth can darken due to enamel damage or a dead nerves. Enamel damage may be caused by accidents and attack from acids, which may be present in foods and drinks.
Enamel may also during dental surgery, especially one involving root canal. It could be teeth trauma especially if you have a one or two of your teeth darkening while the rest are fine.
7. Dental Restorations
Some dental restoration works such as crowns, onlays, inlays and veneers may fail to work or deteriorate with time. This may cause the formation of yellow, brown, gray and even black spots on teeth.
The stains formed are often associated with teeth decay caused by the failed teeth restoration. White fillings can experience staining with time. Metal fillings can too cause of tooth staining.
8. Oral Bacteria
Poorly cleaned teeth may result in the accumulated dental plaque (sticky deposit on teeth) in which bacteria and fungi multiply and produce color that forms green and orange stains.
9. Tooth Decay
Failing to brush your teeth or floss regularly may lead to tooth decay. Tooth decay can result in white, yellow, brown or black stains on teeth.

The teeth lose luster from their surface due to infiltration of the colored substances produced during the decay process.
10. Celiac Disease
The first obvious signs and symptoms manifested by celiac disease entail the teeth. They normally concern the molars and incisors on both sides of the mouth and may include:
- weak enamel
- pitting
- translucence
- brown, whitish or yellowish dots or patches on the teeth
11. Enamel Hypoplasia
This is a tooth condition in which enamel is hard but thin. It results from a disrupted tooth development. As a result, the contours of teeth may contain whitish or yellowish-brown patches.
Enamel hypoplasia is can present from birth, in which case it is referred to as amelogenesis imperfecta. It can also be acquired later after birth.
12. Aging
As one becomes more and more aged, the outer layer of tooth enamel erodes leaving the inner layer (dentin) which is yellower. The teeth then appear to be having yellow teeth stain.
13. Genetic factors
Some reasons why teeth stain may be due to genetic related issues. Some people are predisposed to have discolored teeth due to their genetic make-up. Others may have thinner enamel making their teeth susceptible to attack from stain causing substances.
How to Prevent Teeth Stains
It is said prevention is better than cure. You need to appreciate that prevention is not only easier but also cheaper. Instead of waiting until your teeth are stained in order to take an action, avoid the formation the stains by following simple instructions:
Diet and habit adjustment: Stop tobacco smoking and regulate the consumption of foods that are known to cause or contribute to the staining of teeth.
Oral hygiene: Regularly brush your teeth at least twice a day, and if possible after every meal, using appropriate toothpaste helps to prevent teeth staining. Most toothpastes now contain anti-staining and teeth-whitening agents.
Teeth cleaning: Embrace professional teeth cleaning and followed by polishing using approved cleaning and polishing agents. Use an appropriate string to clean the spaces between teeth to prevent stain between adjacent teeth.
Teeth Stain Removal
Below is a list of teeth stain removal methods. The choice of the methods depends on the type of teeth stains or simply what works for you or what best suits.

Teeth whitening cost may also influence your choice. You may also prefer teeth stain removal at home or professional teeth whitening. Still, others may want to get advice from teeth stain removal dentist. Teeth stain treatment methods and procedures include:
- Use of teeth whitening agents/teeth bleaching agents: There are two types of methods of whitening/bleaching teeth: vital for extrinsic stains and non-vital for teeth stains connected with root canal treatment.
- Use of teeth stain removal powder
- Use of tooth stain erasers
- Use of teeth whitening kits
- Use of teeth stain removal strips or teeth whitening stripes
- Use of teeth stain removal toothpaste or teeth whitening toothpastes
- Home Remedies for example baking soda, lemon, strawberries, apples, charcoal, carrots, banana peel, aloe vera, turmeric and raisins
- Some food, for instance, apples, pears, and carrots, and c sugarless gum cause a lot of saliva in the mouth, which in turn wash away food remains on your teeth.
- Teeth restoration: use of crowns, onlays, inlays and veneers and bridges can be used to conceal teeth stains especially those caused by decay. This is achieved only if the teeth restoration does not backfire. Otherwise, it will be counterproductive leading to formation of stains on teeth instead of treating them.
Sources and References
- Crest Toothpaste: http://www.3dwhite.com/teeth-whitening/teeth-stains/types-of-tooth-stain.aspx
- Foods and Habits That Stain Your Teeth: http://www.webmd.com/oral-health/features/foods-stain-teeth-feature
- Tooth Stains Caused by Smoking Tobacco: http://www.smilesbymyles.com/blog/2014/08/25/tooth-stains-caused-by-smoking-148016
- What To Do About Brown Spots On Your Teeth: https://www.medicalnewstoday.com/articles/321480.php#treatment





